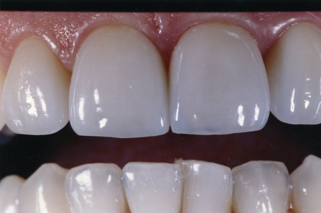
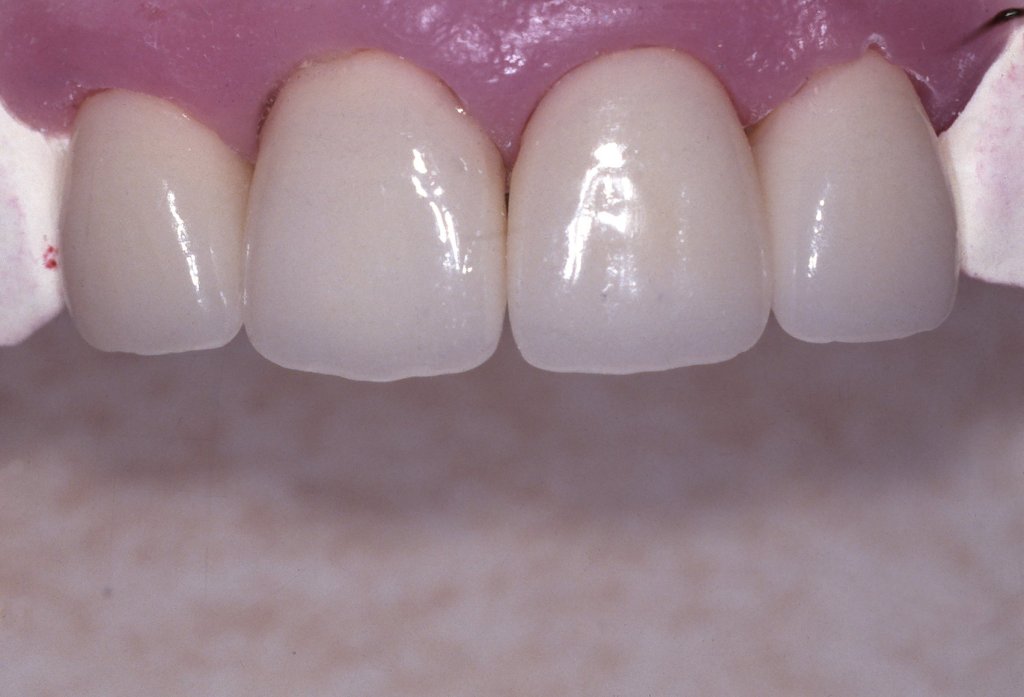
Oral Arts and Design is a modern crown and bridge facility dedicated to fulfill cosmetic dentistry needs. With over 30 years of experience combining advanced technology and artistic concepts, Sunny Kim has a longstanding tradition of creating comfortable and beautiful smiles which have the ideal properties of patients original teeth.



Oral Arts Technologies
Oral Arts and Design utilizes the latest CAD/CAM technology and dental materials to ensure patients receive the highest quality product available.


